Dysplazie kyčelního kloubu a plavání
aneb Grfův (životní) příběh

Pan Ing. Pavel Bradáč nám poskytl údivuhodný článek o svém novofundlandském psu Grifovi, který má velice těžkou dysplazii kyčelních kloubů... I přes prognózy veterinárního lékaře boj s tímto onemocněním nevzdal a nevzdává... Za to, za odvahu a životní sílu mu patří velký dík...
Grifovi je dnes skoro sedm let, a navzdory předpovědím chodí. A velkou zásluhu na tom má plavání. Podívejte se na rentgeny a přečtěte si jak se nám to podařilo. Tímto článkem bych také chtěl dát trochu naděje těm, kteří mají štěně či psa, který přestal chodit a má dysplazii kyčlí.
Novofundlanďan Grif (v PP má Lancaster Triladé) přestal chodit v osmi měsících. Diagnóza zněla: dysplazie kyčelních kloubů, na pravém kyčelním kloubu luxace, na levém subluxace. Tedy česky: Levy kyčel má povysunutý kloub z jamky, pravý je venku. Doktor z renomované brněnské kliniky zkusil doporučit uspání: "ten pes vám nikdy nebude plnit to, k čemu jste si ho pořizovali" Jak moc se mýlil ukázal až čas. Odmítl jsem to tehdy vzdát bez boje a jeli jsme s rentgeny na doporučení k MVDr. Novákovi, který Grifovi píchl přímo do kloubu vysokomolekulární hyaluronovou kyselinu, doporučil další léky (Caniviton, Omega3 - Pupalkový olej, ), měsíc klid a uvidíme.
A stalo se pomalé kouzlo, Grif pomalu přestal kulhat, alespoň viditelně a pomalu po mnoha měsících začal být skoro normální, dlouhé procházky jsme sice moc nedělali a ani neděláme, maximum tehdy bylo vyjímečně okolo tří kilometrů, ale jinak žádný významný pohyb.
A začali jsme se velmi výrazně věnovat plavání. Nejprve v klubu NF pes, ale tam to bylo o hádkách a pomluvách víc než o plavání, a tak jsem hledal, kde to dělají v Evropě dobře, a našel jsem rakouskou skupinu, která se mimo výcviku vodních prací a záchrany věnovala také kondičnímu plavání. První rok jsme se zkušebně zúčastnili několika jednodenních plavání na Dunaji ve Vídni a velmi se nám to zalíbilo. Mě hned, Grifovi postupně, nejdřív si musel plavání zamilovat. Rakouská skupina HWR cvičí podle IRO, tedy mnoho cviků a nikdy se nenudíme, fundlák má rád rozmanité cviky a znáte to, je to krásný pocit, když pes zvládne cvik o kterém jste ani nedoufali, že ho někdy bude umět.
Po dvou letech jsme udělali ve Vídni zkoušku na úrovni IRO RHWA, na což jsme vzhledem ke zdravotnímu stavu hrdý, a záchranářskou vodní část jsme měli za plný počet bodů. Na suchu to bylo horší, Grif je vodní pes a udělali jsme ji tak-tak, přece jen je německý ovčák rychlejší. Diplom ja na konci článku.
Na základě těchto zkušeností máme dnes vlastní klub (Klub pracovní a zábavné kynologie), který se věnuje intenzivně plavání, výcviku vodních prací a vodní záchrany a dalším psím a vodním činnostem a vzdělávání majitelů. Vytvořila se celkem rychle stabilní skupina nadšenců, kteří jsou ochotni pomoci a ne jen pasivně přihlížet. Ví, že jedou pracovat a ne se bavit u lahve se psy zavřenými na pokoji či uvázanými u chatky. Cvičení si děláme po svém, aby nás i psy bavilo, žádný svazarmovský dril na psy. Atmosféra na akcích je asi to, co nejvíc překvapí nové účastníky.
A co nám dalo plavání? V první řadě si myslím, že Grifovi zachraňuje život, pes který nechodí má problém. Dále pocit sounáležitosti, který možná při jiném výcviku nezažijete. Také spoustu nových přátel, kteří jsou stejně trhlí jako my, a jsou ochotni vlézt v březnu či v říjnu do vody a dělat figuranta. Grifovi dalo zkušenosti a schopnosti s prací ve vodě, dnes dokáže zvládnout i složité situace, jako je více tonoucích, opuštěný člun či bezvládného plavce i v tekoucí řece a při větru. Odnese lano ze břehu k lodi, záchraný prostředek tonoucímu a když například ve vodě chytí špatné lano, tak ho na povel (no spíš jenom upozornění) umí pustit a vzít to správné lano. Kdykoli bych si s Grifem troufnul na záchranu do jakéhokoli prostředí, i v únoru ve dvě ráno do rozbouřené řeky. Vyzkoušeli jsme si už i simulované ostré nasazení v noci a byl to velmi zajímavý zážitek.
Ročně Grif dělá přibližně 1500 až 2000 vodních cviků, k tomu naplave za lodí několik kilometrů (viz z akcí n konci článku) a mimo fyzičky se ve vodě chová jako doma. Fyzickou kondici jsme ze začátku trénovali pomalu, tři delší aporty a chvilku pauza. Taky na prvním výcviku zhubnul Grif 4kg za týden. Dnes už je mazák a umí mezi jednotlivými cviky tvrdě usnout.
U některých ps pomáhá plavání s problémy se srdcem a oběhovou soustavou, také i s celkovým zdravotním stavem. Plavání pomáhá i pro vývoj sebevědomí psů, máme celkem dobré výsledky u bázliých psů se zlepšením chování.
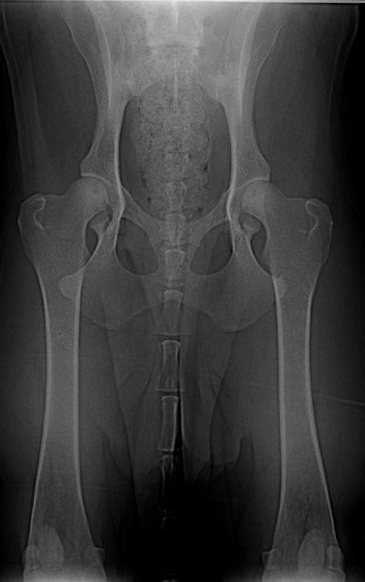
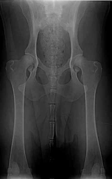
Znovu na rentgenu jsme byli ve zhruba čtyřech letech, kdy Grif prodělal amputaci plovací blány, protože se mu po zánětu udělala boule velikosti velkého vlašského ořechu. Rentgen, který zde vidíte je poslední, ze skoro sedmi let, kdy jsme byli na operaci s předním loktem, artrózu bylo nutné odfrézovat. Ano, to byla poslední zatím neoperovaná noha. Pro přehled je vedle další rentgen zdravého psa (mladého leonbergera). Prohlédněte si oba klouby.
Že je na tom Grif dobře je vidět i na předposledním diplomu, ušel na silvestrovské akci několik kilometrů na "Minitreku".
Některé Grifovy diplomy z akcí jsou zde:





